• Relationships
  • Astrology
  • Spirituality
  • Psychology
  • Uplifting
  • Relationships
  • Astrology
  • Spirituality
  • Psychology
  • Uplifting
  • Decoist
  • ManMadeDIY
  • I Waste So Much Time
  • Slow Robot
  • About
  • Contact
  • Copyright
  • Privacy
  • Terms
photo-of-beautiful-women-in-white-outfit looking forward stadig beside eachother Love and Relationships The 5 Ways Confident Women Handle Infidelity in a Relationship Differently
portrait of Iranian girl HighSchool Uplifting Stories Iranian 11 Y.O girl Receives Highest Mensa IQ Score, Surpassing Einstein and Hawking
couple-dressed-in-red-lying-together- from opposute sides Astrology Leo and Gemini Compatibility: Love, Trust, Friendship & More
person-holding-string-lights-photo- Spirituality Forgetting Things Is Actually A Sign Of Very High Intelligence, According To Science

Spirituality

The actor Alex van Ric (as medium) with an Ouija. The show The Very Real Dangers Of The Ouija Board That Show It’s Not A Game
The Symbolic Meaning Of Every Color Of Rose
NASA Says “Something Weird” Is Happening With Our Universe Right Now
The Human Body Really Is Made Up Of Stardust, According To Science
More Spirituality

Elevate Your Inbox

Sign up for weekly affirmations and articles delivered directly to your inbox. All fields are required.

Join the movement:

  • facebook
  • instagram

Latest

man hides his face with hands (closeup) Horoscopes October Kicks Off With Fiery Passion Before Bringing Shock In Three Life Areas, According To Astrology
Dr Eben Alexander Spirituality Brain Surgeon Reveals He Saw Proof Of Heaven In “The Afterlife” With A Detailed Description
couple ages (800 × 533 px) - 2022-09-22T124641.194 Horoscopes Feeling All Over The Place Lately? It’s All About To Change According To Next Week’s Horoscope
kids in hut with black woman and her babies all smile Uplifting Stories Family Goes On World Tour Before The Kids Become Blind From Rare Condition Without Cure
groom-kissing-bride-neck Astrology Virgo and Cancer Compatibility: Love, Trust, Friendship & More
oving-couple-standing-close-in-room Astrology Libra and Taurus Compatibility: Love, Trust, Friendship & More
woman holding flower bouquet at the park facing back Love and Relationships How The Narcissist Works In Cycles, Breaking You More With Each Round
couple ages - 2022-09-19T115706.212 Spirituality All The Subtle Signs You’re At Risk Of An Early Death, According To Science
15 year old boy holding his accurate ovarian test Uplifting Stories Grieving 15-Y.O Boy Invents Cancer Test “26,000 Times Less Expensive With 100% Accuracy”
silhouette of couple embrace  standing on a rock under giant yellow moon Horoscopes This Week’s Horoscope Predicts One Zodiac Sign In Particular Will Be Extremely Lucky In Love
couple ages - 2022-09-13T150809.917 Spirituality They Declared Her Dead, Then She Woke Up At Her Own Funeral Home
Queen Elizabeth II and the Duke of Edinburgh on the day of their coronation, Buckingham Palace, 1953. (Colorised black and white print). Artist Unknown. Astrology Queen Elizabeth II’s Birth Chart Reveals She Was Cosmically Destined For The Crown
sheriff in uniform by car Spirituality Woman Found Out She’s Actually Been Officially Reported “Missing” Since 1980
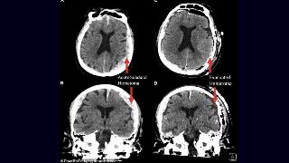
Pictured are CT scans of the patient, whose identity was not disclosed. Spirituality Brain Activity Of Dying 87 Y.O Man Suggests Our Lives Really Do Flash Before Our Eyes
Silhouettes of couple holding hands standing under the stars Astrology Virgo and Gemini Compatibility: Love, Trust, Friendship & More

Relationships

woman in white dress hugs in her knees sitting on the floor by bricks The Small Ways A Man Makes A Woman Feel Unwanted Without Saying A Word
an-and-woman-kissing as bride ad groom under veil holding bouquet Men Explain The 6 Warning Signs Of A Bad Wife
Two women hugging in front of a blue sky. This One Trait Is Said To Increase Attractiveness And Slow Aging
lose-up-photo-of-woman-biting-her-lower-lip in red lipstick What If We Told You What Makes A Kiss Good Is Not Attraction? It Is Just Biology
A woman looking over her shoulder at her boyfriend, who's disraught. Still Friends With An Ex? Beware, They Might Be A Psychopath
More Relationships
more
  • facebook
  • instagram
  • About
  • Contact
  • Copyright
  • Privacy
  • Terms
  • Decoist
  • ManMadeDIY
  • I Waste So Much Time
  • Slow Robot